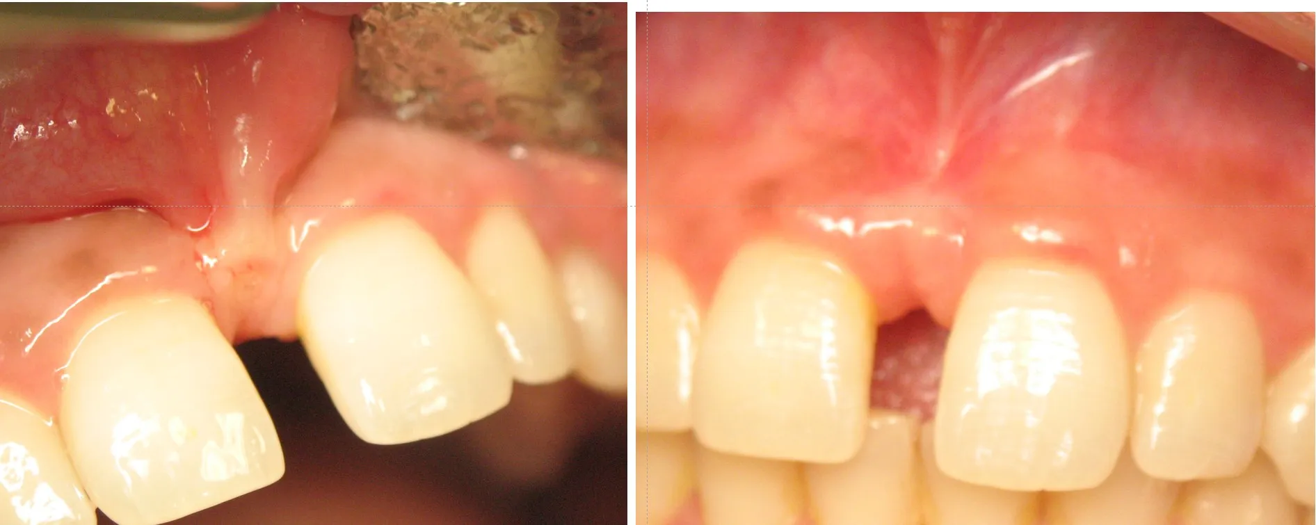
Frenectomy is a minor surgical procedure that removes or repositions a frenum — the small band of tissue that connects the lip or tongue to the gum or floor of the mouth. There are fibers which run from under the lips to the gum area; these fibers are called the frenum. When the frenum is abnormally tight or attached too close to the gum line it can cause problems such as gum recession, spacing between teeth, restricted lip or tongue movement, and difficulties with oral hygiene. In some situations the frenum attachment is close to the gum margin which results in recession of gums or gaps between the teeth; with minor correction of the frenum the health of the gums can be preserved. This procedure is known as a frenectomy.
Common reasons to perform a frenectomy include:
A frenectomy at Perio Dental is typically performed under local anaesthesia in the clinic. The exact technique depends on the location and severity of the frenum. Options include a simple excision, frenotomy, or a more complete repositioning with sutures. In many cases Dr. Mansur Roy uses microsurgical instruments and fine sutures to minimize trauma and ensure better aesthetic outcomes.
When appropriate we use techniques that achieve primary closure of the gums, which speeds healing and helps minimise scarring.
Recovery is usually straightforward. Patients may experience mild soreness and swelling for a few days. We provide detailed aftercare instructions, which commonly include:
When indicated, a frenectomy can prevent further gum recession, reduce tooth mobility caused by tissue pull, close midline gaps when combined with orthodontics, and improve speech or feeding function. Using microsurgical techniques reduces scarring and speeds healing, producing predictable and esthetic results.
Evaluation involves a clinical exam, assessment of the frenum attachment, and discussion of your goals (esthetic, orthodontic, functional). If you live in the Abbotsford area or surrounding communities, Dr. Roy can assess your situation and recommend the most appropriate approach. In many cases the procedure can be combined with other periodontal or orthodontic treatments for a comprehensive outcome.
If you have a persistent gap between your front teeth, discomfort from a tight lip or tongue tie, or are worried about gum recession related to the frenum, schedule a consultation. We will discuss conservative and surgical options and provide a personalized treatment plan.
